Az első lábujj Valgus deformációja leggyakrabban az érett korú nőket érinti, de a férfiakat is érinti. A hüvelykujj deformált alapja nem néz ki esztétikusan. Ebben az esetben a személy fizikai kényelmetlenséget, előrehaladott állapotban pedig fájdalmat érez. A nagylábujj eltérése a láb egyenetlen testterhelésének következménye. Az ilyen változások káros hatással vannak a lábakra és más ujjakra.
A görbület okai

A hallux valgus nyilvánvaló ok nélkül nem fordul elő. Ez a patológia különféle okok hatására jelenik meg és fejlődik ki. A Hallux valgus leggyakrabban olyan embereket érint, akik genetikailag hajlamosak erre a betegségre. Az orvosok az 1 lábujj deformációjának következő okait figyelik meg:
- Túlzott testsúly.
- Endokrin betegségek.
- Csontritkulás.
- Lapos lábak.
- Diabetes mellitus.
- Pikkelysömör.
- Ízületi gyulladás.
- Hormonális változások terhesség és idős kor alatt.
- Szűk cipő viselése.
- A szakma sajátossága, amely arra kényszeríti az embert, hogy minden nap megnövekedett fizikai aktivitást viseljen a lábán.
Stádiumok és fajták
Az orvosok a betegség progressziójának 3 szakaszát veszik figyelembe:
- Finom valgus eltérés. Megjelenik a bőr vörössége, valamint kisebb horzsolások. Kényelmetlenség járás közben.
- A hüvelykujjon már jól látható egy növekedés. Duzzanat és fájdalom figyelhető meg.
- A betegség ezen formája előrehaladottnak tekinthető. Az embert zavarja a nagylábujj és az egész láb állandó elviselhetetlen fájdalma, valamint a keratinizált bőr megjelenése. A fájdalom még alvás közben sem múlik el.
A kellemetlen hallux valgus kialakulását számos tényező befolyásolja. A szakértők a következő típusú ujjdeformitásokat külön kategóriaként azonosították:
- Keresztezési deformitás. A görbület különböző irányokba fordul elő. Az ujjak keresztbe teszik egymást.
- Az ízületek olyan mértékű görbülete, hogy mindig hajlított helyzetben legyenek. A patológia kialakulásának első szakaszában az ujjak a kezek segítségével kényszeríthetők kiegyenesedésre. Ha ekkor nem kezdi el a kezelést, az ujjak annyira megmerevednek, hogy már nem tudja kiegyenesíteni őket a kezével. Ma már lehetetlen műtét nélkül.
- Taylor deformitása. A kisujjakat érintő patológia. Jellemzője a növekedés megjelenése a csontokon.
- A falángok görbülete, horgokra hasonlít.

A szakértők között vannak olyan balerinák, akiknél fennáll a hallux valgus kialakulásának veszélye. A lábujjakon való tánc fokozott stresszt okoz a lábujjain, ami görbületéhez vezet. A helytelen járás nemkívánatos következményeket is okozhat. A provokáló tényezőket még az életkor is súlyosbítja.
Diagnosztikai módszerek
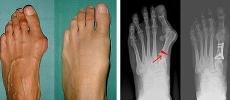
Ha a vizuális vizsgálat és a röntgensugarak nem adnak eredményt, akkor a beteget plantográfiára utalják, hogy meghatározzák a lehetséges lapos lábakat. Ez a módszer magában foglalja a láb lenyomatát, amely alapján ortopédiai tulajdonságokkal rendelkező cipőket vagy talpbetéteket készítenek a páciens számára. Ezután a betegnek podometriát írnak elő. Ez a módszer számítógépes elemzést használ a személy súlyának a lábra gyakorolt nyomásának meghatározására. A fejlett diagnosztika eredményei az első és második lábujj görbületének kezelési módszerének megválasztásának alapját képezik.
A röntgenvizsgálat hátránya, hogy a beteg lábát be kell sugározni, amit sok beteg nem szeret. Szerintük ez túl káros módszer. Ebben a tekintetben a hallux valgus hatékony kezelése nem kezdhető meg a plantográfia eredményei nélkül.

Ez a legjobb informatív diagnosztikai módszer. Segítségével az orvos nemcsak a lapos lábak jelenlétét, hanem a lábboltozat állapotát is meghatározza. A lapos láb kimutatásának leghatékonyabb módja a számítógépes vizsgálat.
A nagylábujj és a kislábujj valgus azonosításának első szakaszában az orvos vizuális vizsgálatot végez. Ily módon meghatározza a patológia fejlődési szakaszát. Az ízületek részletes változásainak azonosítása érdekében röntgensugarakat és plantográfiát írnak elő.
Gyógyszeres terápia
Jobb, ha a lábfej, valamint a nagylábujj kíméletes kezelését még a patológia végső fejlődési szakasza előtt érdemes elkezdeni. A szakértők tudják, hogyan kell kezelni ezt a patológiát, de nem tudják, hogyan lehet sebészeti beavatkozás nélkül gyógyítani a betegség előrehaladott formáját. Először is, az orvosok meghatározzák az ujjak görbületének okát, valamint a bonyolító tényezők jelenlétét. Mint ismeretes, a gyógyszeres terápia feladata a tüneti terápia is. Ez azt jelenti, hogy megszűnik a fájdalom, a gyulladás és a duzzanat.
Leggyakrabban a betegek nem szteroid gyulladáscsökkentő szereket írnak fel. Fő funkciójukon túl csökkentik a fájdalmat és a lázat. Ha szövődmények lépnek fel, gyakran hormonális kortikoszteroidokat írnak fel. Ha az ujjak deformációját a belső szervek betegségei okozzák, akkor az ízületek a mögöttes patológia gyógyulását követően korrigálhatók. Ebben az esetben az endokrinológusok más magasan képzett szakemberekkel együtt vesznek részt a problémában. Sokan népi gyógymódokkal próbálják meggyógyítani magukat, elfelejtve, hogy ez csak a patológia kialakulásának kezdeti szakaszában lehetséges.
Ha a patológiát a kezdeti szakaszban észlelik, akkor a görbe hüvelykujjat eszközökkel - ortopédiai tulajdonságokkal rendelkező műanyag vagy szilikon betétekkel - kiegyenesítik. A kezelés során puha, tágas cipőt kell viselni. A görbe ujjak kiegyenesítésére ortopéd talpbetétet, ívtámaszokat és egyéb korrektorokat használnak. A deformált ujjakat speciális sínekkel, gyűrűkkel, sapkákkal és fésűkkel rögzítik. Az ilyen eszközök segítségével az ujjak a megfelelő helyzetben vannak rögzítve. Az ortopéd rögzítőknek köszönhetően az ujjak további deformációja megáll.
A hallux valgus kezelésének két módja van. Az első a deformitás fájdalommentes korrekciója, amely nem igényel sebészeti beavatkozást és rehabilitációt, a második a műtéten keresztüli kezelés.
Sebészeti kezelési módszerek

A hallux valgus teljes gyógyulása csak sebészszikével lehetséges. Néha elég egyetlen műtét, és a beteg örökre elfelejti a problémát. Az orvos sebészeti beavatkozást végez, figyelembe véve a hallux valgus deformitás típusát. A műveletek leggyakoribb típusai a következők:
- Exostectomia. A lábközépcsontnak csak egy bizonyos részét távolítják el.
- Reszekciós artroplasztika. A lábközépcsont végét eltávolítjuk.
- Osteotómia. A lábközépcsont, valamint a falanx egy kis elemének eltávolítására szolgál.
- Reszekció. A műtét célja az érintett lágyrészek eltávolítása, majd egészséges szövetek átültetése a helyükre.
- Arthrodesis. Biztosítja az ízületek kényszerített mozdulatlanságát.
- Distális osteotómia. A művelet magában foglalja az ízületek közötti szög csökkentését.
- A nagylábujj gyulladt bursa eltávolítása.
- Implantátumok beszerelése.
A műtét utáni rehabilitációs időszak akár hét hétig is eltarthat. Ebben a néhány hétben általában speciális megelőző intézkedéseket hajtanak végre. Először is ezek olyan terápiás gyakorlatok, amelyek elősegítik:
- az egészségi állapot javítása;
- fájdalom csökkentése járás közben;
- a lábizmok tónusának növelése;
- a deformált ízület beépítése és rögzítése természetes helyzetében.
A rehabilitációs időszak időtartama leggyakrabban attól függ, hogy milyen összetett volt a műtét. A gyógyulás felgyorsítása érdekében másnap el kell kezdenie mozgatni az ujjait. Egy hét elteltével a beteg már talpra állhat, és az óvintézkedéseket betartva lassan mozoghat. A lényeg az, hogy elkerüljük a hosszan tartó stresszt.
A műtét után kiváló minőségű puha és tágas cipőre lesz szüksége. Orvosi javaslatra vásárolható. Mellesleg, ha a hallux valgus kialakulásának legelején elkezdi a terápiás gyakorlatokat, akkor nem csak sebészeti beavatkozás nélkül teheti meg, hanem anélkül, hogy pénzt pazarolna különféle eszközökre, kenőcsökre és gyógyszerekre.
A szakértők szerint a műtéti kezelési lehetőség gyakorlatilag száz százalékban pozitív eredményt ad. Ez a gyengéd kezelési módszer nem igényel érzéstelenítést, és nem okoz stresszt vagy pszichés szorongást. A fájdalommentes kezelési módszerek azonban nem képesek megmenteni az embert a betegség utolsó szakaszától.
Megelőző intézkedések

A megelőző intézkedések meglehetősen egyszerűek - kényelmes, széles orrú cipő viselése, amelynek belseje nem gyakorol nyomást a lábujjakra. Különösen az ízületek és általában a lábak képesek ellenállni az emberi növekedés során felgyülemlett súlynak anélkül, hogy kárt okoznának. Ezért nagyon fontos, hogy figyelemmel kísérje a testsúlyát, hogy elkerülje az elhízást.
Az egyik hatékony megelőző gyakorlat a következő: az ember egy széken ülve, lábával a padlón, ujjaival mozgatja azokat.
A következő gyakorlat mezítláb jár a padlón, felváltva a lábujjakon és a sarkakon.
Az egyszerű gimnasztikát gyorsan elsajátítják, ami összetettebb fizikai gyakorlatokat eredményez. Ezután olyan műveleteket hajthat végre, mint például a ceruza vagy bármely más tárgy felemelése a padlóról.
Jobb megelőzni a hüvelykujj deformációját, mint utólag sorba állni az egészségügyi intézményekben, hogy megkapja az orvos ajánlásait a hatékony kezelés kiválasztásához.























